

Diagnóstico avanzado
Análisis inmediato
Este procedimiento por el cual se identifica una enfermedad dental. Lo realizamos con la ayuda de la radiografía digital que utiliza un sensor electrónico que captura la imagen y la almacena en una computadora. Es la última tecnología usada para tomar radiografías dentales.


Endodoncia
Salva tus piezas dentales
Las caries pueden llegar a destruir por completo tus piezas dentales y dejarlas inservibles, te puedes enfrentar a la extracción completa de dichas piezas, pero existe un tratamiento que puede evitarte perder las piezas dentales, la endodoncia!.
Consiste en la extracción del nervio para poder salvar piezas dentales que han sufrido caries muy extensas, así evitar la pérdida de dichas piezas dentales por el gran daño que han sufrido.


Estética dental
Queremos verte sonreír
Esta especialidad se encarga de los problemas de la cavidad oral relacionados a lograr una sonrisa ideal y perfecta a través de algunos tratamientos solos o combinados dependiendo del caso y del paciente.


Odontopediatría
Pequeñas sonrisas para toda la vida
Nos encargamos de tratar a los niños en un ambiente en el que el niño se sienta cómodo y seguro. La odontopediatra conoce a fondo los dientes temporales, las etapas de crecimiento, las medidas preventivas y el tratamiento más apropiado para cada niño y da un seguimiento periódico con el fin de que nazca una dentadura definitiva fuerte y sana. Hay que tener en cuenta que el primer tratamiento dental de un niño es sumamente importante para poder establecer una buena relación entre el dentista y paciente que va a influir para toda la vida.


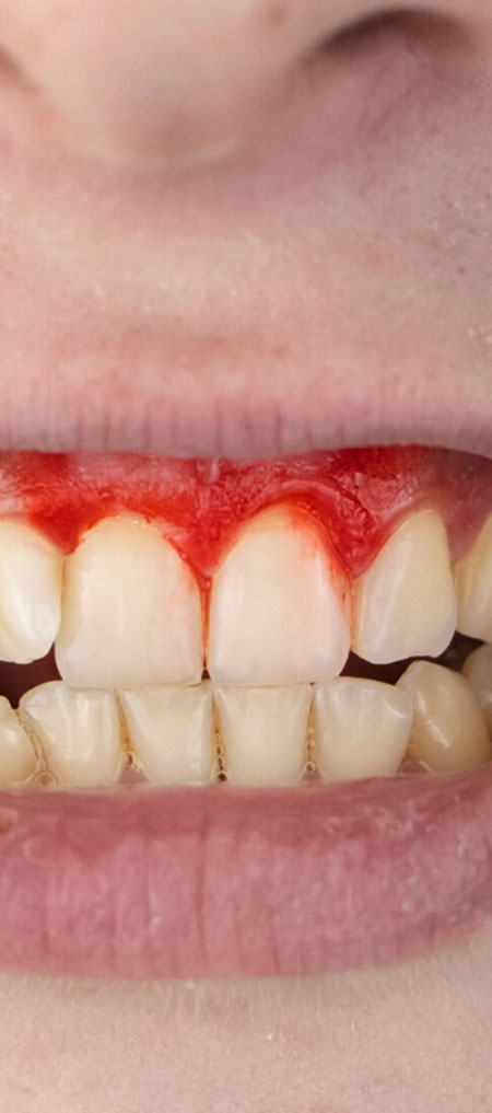
Periodoncia
Cuidado con tus encías
Proponemos tratamientos que solucionan enfermedades que afectan los tejidos que dan soporte a los dientes como la encía y el hueso.


Cirugía oral
Cuidado con tus encías
Una especialidad quirúrgica que se ocupa del tratamiento de problemas bucales como terceros molares retenidos, extracciones de piezas dentales complicadas, biopsias y raíces abandonadas.


Rehabilitación oral
Una gran sonrisa
Devuelve la función estética y armonía oral mediante prótesis dentales.


Odontología general
Cuidados orales
Tratamientos que se llevan a cabo para mantener una buena salud bucal, estos van desde restauraciones y limpieza dental hasta carillas y restauraciones.


Implantes
Tu dentadura completa
Permite al cirujano colocar dientes sustitutos directamente sobre una estructura de titanio que se pone quirúrgicamente dentro del hueso. Es la mejor solución actualmente para recuperar las piezas dentales perdidas.


Ortodoncia
Correcciones dentales
Podemos corregir los defectos y las irregularidades de la posición de los dientes para lograr una armonía, estética y masticación correcta. Hoy en día se puede lograr la correcta posición de los dientes con brackets estéticos o con alineadores invisibles para la tranquilidad y comodidad de los pacientes.
Si tienes alguna duda, escríbeme al whatsapp, también si lo prefieres me puedes consultar por correo a consultas@karlamoscoso.com o por télefono al 099 966 0428 en horario de oficina de 09:00am a 13:00 pm y de 15:00 pm a 19:00 pm, si tienes alguna emergencia me puedes contactar al 099 416 8614.