San Salvador N30B y La Pradera – Quito
Consultas 099 9660428 Emergencias 099 416 8614

San Salvador N30B y La Pradera
099 416 8614 | Quito

La importancia de la gingivoplastia en el diseño de sonrisa

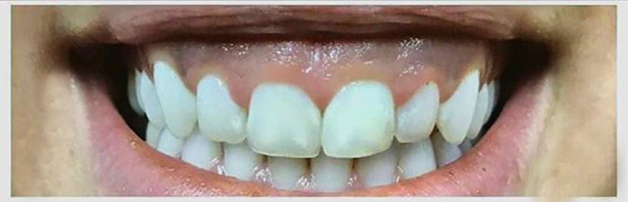
Cuando se habla de diseño de sonrisa se piensa en tener dientes blancos y perfectos, sin embargo también se debe evaluar la encía, la cual debe estar sana y tener un adecuado contorno.

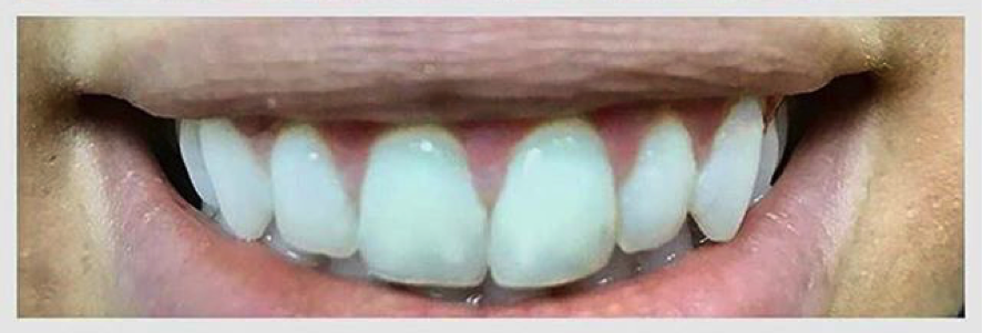
La gingivoplastia consiste en la remoción de una pequeña parte de la encía para mejorar la estética dental y lograr una forma más armoniosa de la sonrisa. Está indicada en casos en que los niveles de la encía en los dientes anteriores está desigual, también está indicada en casos de “sonrisa gingival” que es cuando el paciente al sonreír se le ve mucho la encía.

gingivoplastia diseño sonrisa

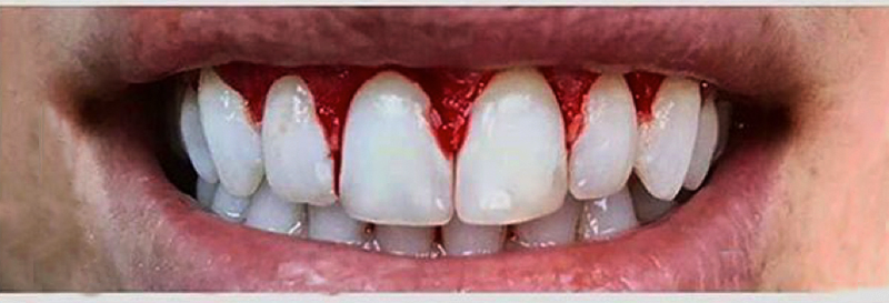
Para poder realizar este procedimiento es importante que la encía esté sana. Una encía sana se caracteriza por un color rosa pálido, consistencia firme y no debe sangrar. Si no presenta estas características primero se realiza una limpieza dental.

gingivoplastia diseño sonrisa

Después del plan de tratamiento para el diseño de sonrisa y de realizar la limpieza dental se realiza la gingivoplastia con el fin de obtener un contorno gingival parejo, uniforme y simétrico, y también lograr una mejor dimensión de los dientes en los casos en que éstos se vean muy pequeños. Se trata de una intervención ambulatoria y simple que solo requiere anestesia local y no suele presentar inconvenientes.

gingivoplastia diseño sonrisa

Pide tu cita llamando al  0999660428 / 0994168614 o por medio de nuestra página web www.karlamoscoso.com

Si tienes alguna duda, escríbeme al whatsapp, solo tienes que darle clic al botón a continuación. También si lo prefieres me puedes consultar por correo a consultas@karlamoscoso.com o por télefono al 099 966 0428 en horario de oficina de 09:00am a 13:00 pm y de 15:00 pm a 19:00 pm, si tienes alguna emergencia me puedes contactar al 099 416 8614.

Estoy para ayudarte.